Here at Mercer Island Veterinary Clinic, we take great pride in our extensive dentistry program. We provide comprehensive dental care for our patients including digital dental x-rays.
In pets, just as with people, up to 70% of important dental findings occur beneath the gumline. To see beyond just the crowns of teeth and get an overall impression of periodontal health, x-rays are a critically necessary tool. During every dentistry, we take a full set of digital dental radiographs. Digital x-rays allow us to have each image on-screen in 5 seconds! This allows us to make rapid and well-informed decisions about the best treatments for our patients’ dental needs.
X-rays may be even more important for pets than for people, since our pets can not tell us if they have subtle oral pain or if a specific tooth is sensitive or damaged. By taking x-rays, we can help to save teeth which may otherwise require extraction, or decide to remove a tooth early in the course of disease and prevent a severe problem in the future.
X-ray of a cat with a tooth undergoing tooth resorption. This is a painful condition in which the body attacks normal tooth and bone, leaving compromised teeth. This tooth required extraction due to the advanced nature of this condition.Tooth resorption always needs immediate treatment because it is so painful.

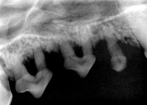
This dog has advanced periodontal disease which was left untreated for a prolonged period of time. After being adopted by new owners, he was brought in for a well pet checkup. His gums were very red, and we scheduled a teeth cleaning with x-rays. The x-rays showed that his periodontal infection had led to the loss of a majority of the bone around these teeth. These teeth had to be extracted.

